Brustsprechstunde
Brustkrebs ist die häufigste zum Tode führende Krebserkrankung der Frau. Mehr als 10 Prozent aller Frauen müssen mit dieser Krebserkrankung rechnen. Brustkrebs ist etwa sechs mal häufiger als ein Krebs des Gebärmutterhalses oder der Eierstöcke. Daher kommt der Brustuntersuchung eine besondere Bedeutung zu.
Sie ist der wichtigste Teil der Krebsfrüherkennungsuntersuchung. Tastuntersuchung, Ultraschall und Mammographie sind die klassischen Säulen der Mammadiagnostik. In besonderen Fällen kann die Magnetresonanztomographie der Brust (MR-Mammographie, auch "Kernspintomographie" genannt) sinnvoll oder erforderlich sein. Dazu arbeiten wir mit den Fuldaer Institutionen zusammen, die über große Erfahrung verfügen und eine sichere Diagnostik gewährleisten.
In der Brustsprechstunde erfolgt auch die Untersuchung und Beratung bei abnormer Brustform und -größe. Die Erstellung eines Gutachtens für die Kostenübernahme geplanter korrigierender Eingriffe durch die Krankenkasse ist möglich.
Und nicht zu vergessen: auch Männer sind manchmal unsere Patienten. Eine von hundert Brustkrebserkrankungen trifft einen Mann. Dazu kommt, dass auch schon bei jungen Männern sich eine weibliche Brust ausprägen kann (Gynäkomastie). Hier kann oft durch einen operativen Eingriff Abhilfe geschaffen werden.
Inspektion und Abtasten der Brust
Wenn Sie mindestens einmal, nach dem 50. Lebenshjahr besser zweimal im Jahr zur Früherkennungsuntersuchung gehen, können Sie diese Maßnahmen Ihrem Arzt überlassen. Wenn Sie selten zum Arzt gehen, sollten Sie in regelmäßigen Abständen (etwa alle drei bis sechs Monate) Ihre Brust aufmerksam betrachten und abtasten.
Auffallend und Grund für einen Arztbesuch sind zunehmende Größenunterschiede zwischen beiden Brüsten und Einziehungen der Brusthaut oder der Brustwarze, außerdem Hautveränderungen im Bereich der Brustwarze oder des Warzenhofes.
A: Deformierte rechte Brust, Einziehung der Brustwarze: fortgeschrittene Krebserkrankung!
B: Einziehung am Rand des rechten Brustwarzenhofes, nur beim Anheben des Armes (B 2) !

Die unteren Bilder zeigen ein kleines "Ekzem" im Bereich des Warzenhofs als Zeichen einer Krebserkrankung im Inneren der Brust (links) und eine fleckige Hautverfärbung bei fortgeschrittenem Brustkrebs (rechts).

Eine eingehendere Anleitung zur Selbstuntersuchung der Brust finden Sie unter der Adresse: http://www.frauenaerzte-im-netz.de/de_tastuntersuchung-selbstuntersuchung-der-brust_533.html
Ultraschalluntersuchung der Brust (Mammasonographie)
Vor allem bei großen Brüsten und Brüsten mit festem Gewebe ist die Ultraschalluntersuchung wesentlich aussagekräftiger als die Tastuntersuchung. Man findet damit mögliche Tumorerkrankungen früher, die Behandlung ist daher schonender und die Überlebenschancen besser. Die Ultraschalluntersuchung ist unschädlich und geht ohne Strahlenbelastung einher. Meist kann man mit der Ultraschalluntersuchung eindeutig klären, um welche Art von Knoten es sich handelt. Oft kann man mit dieser Untersuchung Frauen eine Operation ersparen.
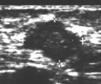
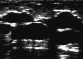
Die folgende Bildreihe zeigt von links nach rechts Zysten, einen gutartigen Knoten Mitte) und ein kleines Karzinom (rechts).

Abklärung unklarer Befunde durch sonographisch gesteuerte Stanzbiopsie
Wenn auch nach einer Ultraschalluntersuchung unklar ist, um welche Art von Knoten es sich handelt, kann in der Praxis eine Gewebsprobe durch Stanzbiopsie entnommen werden. Diese Gewebsprobe wird feingeweblich untersucht, so dass man zu einer ganz sicheren Diagnose kommt. Die folgende Bildreihe zeigt einen unklaren Knoten (links), dann die bis zum Knoten vorgeschobene Nadel (Mitte, die Nadel ist als heller Strich abgebildet) und schließlich den Moment der Gewebsentnahme durch die Nadel im Tumor. Die Patientin aus diesem Beispiel hatte eine gutartige Erkrankung.

Mammographie (Brustuntersuchung durch Röntgendiagnostik)
Die Mammographie ist eine bewährte und seit Jahrzehnten bekannte und geübte Methode zur frühen Entdeckung von Tumoren in der Brust. Seit einigen Jahren wird sie für Frauen zwischen 50 und 69 Jahren als "Screening-Mammographie" angeboten. Vorteil des Screenings ist die Kostenfreiheit für gesetzlich versicherte Frauen, Nachteil ist die mangelnde Kooperation zwischen den Screeningstellen und den niedergelassenen Ärzten. Ihr Frauenarzt bekommt keinen Befund!
Mammographie und Ultraschall sind keine konkurrierenden Methoden, sondern sie ergänzen sich. Am sichersten kann man ein Karzinom ausschließen, wenn bei keiner Methode ein verdächtiger Befund erhoben wurde. Für Frauen unter 40 Jahren ist die Mammographie als Früherkennungsmethode ungeeignet.
Das linke Bild unten zeigt Mammographieaufnahmen von beiden Brüsten, "rechts" mit einem hellen Fleck, links unauffällig. Die rechte Aufnahme unten zeigt eine Vergrößerung des hellen Flecks, der unscharf begrenzt ist und sich bei der weiteren Untersuchung als Karzinom erwies. Dieser Tumor war übrigens nicht tastbar. Er wurde anläßlich einer Vorsorgeuntersuchung durch Ultraschall entdeckt. Die 80jhr. Patientin wurde brusterhaltend operiert und ist seither gesund.

Die Unterscheidung zwischen gut und böse ist auch in der Mammographie nicht immer ganz einfach. Das zeigen die folgenden Bildbeispiele: links findet sich ein glatt begrenzter harmloser Knoten in der Tiefe der Brust (nicht tastbar!), rechts noch einmal ein Karzinom.

Als einzige Methode ist die Mammographie in der Lage, die sogenannten Mikroverkalkungen aufzudecken, die manchmal (leider nicht immer!) dann entstehen, wenn eine bedrohliche Brusterkrankung zu wachsen beginnt. Daher bedingt der Verzicht auf die Mammographie bei der Früherkennung von Frauen insbesondere nach dem 50. Lebensjahr immer eine kleine Sicherheitslücke.
Magnetresonanztomographie der Brust (Kernspintomographie)
Die Kernspintomographie der Brust ist ein aufwendiges Verfahren, das insbesondere bei unklaren Befunden an der Brust hilfreiche Informationen liefert. Das entscheidende diagnostische Prinzip ist dabei, dass Karzinome eine besondere Gefäßversorgung nach sich ziehen, in denen das Blut anders strömt als in gesunden Gefäßen. Die Kernspintomographie misst letztlich diesen besonderen Blutfluss. Daraus werden dann Rückschlüsse gezogen, um welche Art von Gewebe es sich im untersuchten Bereich handelt. Auf dem Bild unten sieht man auf der links abgebildeten Brust außen einen hellen Fleck: kleines Karzinom.

Fazit:
Der Einsatz bildgebender Verfahren in der Diagnostik der weiblichen Brust muss mit Augenmaß und unter klaren Vorstellungen erfolgen. Es ist beispielsweise nicht sinnvoll, ein 20jähriges Mädchen ohne triftigen Grund einer Mammographie zu unterziehen. Auch routinemäßige Ultraschalluntersuchungen können in diesem Alter entfallen. Die Frau nach den Wechseljahren hat dagegen ein deutlich höheres Risiko für eine ernsthafte Brusterkrankung und wird in jedem Fall davon profitieren, wenn Ultraschall und (in längeren Abständen) auch Mammographie in die Früherkennungsuntersuchung einbezogen werden. Nach einer qualifizierten Untersuchung trägt schon das sichere Wissen, nichts zu haben, zu einer spürbaren Verbesserung der Lebensqualität bei!
Ein Wort zum Mammographiescreening:
Frauen vom 50. bis zur Vollendung des 74. Lebensjahrs werden in zweijährigen Abständen zu Röntgenuntersuchungen der Brust (Mammographie) im Rahmen eines Screenings (Untersuchung großer Bevölkerungsanteile) aufgerufen.
Der Vorteil dieser auf gesetzlicher Basis etablierten (freiwilligen!) Untersuchung ist die Auffindung bösartiger Brusttumoren zu einem frühen Zeitpunkt. Ein weiterer Vorteil ist, dass gesetzlich versicherten Frauen für die Untersuchung keine Kosten entstehen. Privatpatientinnen erhalten eine Rechnung von der Screeningstelle. Ein Nachteil des Verfahrens ist die ungenügende Einbindung der betreuenden Frauenärztinnen und Frauenärzte ins Screening. Diesen gelingt es selbst bei auffälligen Befunden häufig nicht, einen sorgfältigen Befund über die Untersuchung zu bekommen. Auch die Tatsache, dass bei der Screening-Mammographie keine ärztliche Untersuchung der Brust stattfindet, mindert die Qualität.
Wir empfehlen deshalb die Mammographie eher im individuellen Setting: mit Arztgespräch, mit ärztlicher körperlicher Untersuchung der Brust, mit Besprechung der Bilder mit dem untersuchenden Radiologen und mit Versendung eines Befundes an den betreuenden Frauenarzt.